マイクロスコープとEr:YAGレーザーを用いた歯肉のメラニン色素沈着除去
市来歯科医院のホームページ・ブログをご覧頂きありがとうございます。
今回はマイクロスコープとEr:YAGレーザー(エルビウムヤグレーザー)を用いた歯肉のメラニン色素沈着除去についての説明を行います。
近年お口元の美しさに対する意識が高まる中で、歯の白さだけではなく、歯肉のメラニン色素沈着が気になる方が増えてきています。
メラニン色素沈着とは、歯肉に現れる黒ずみや斑点のことで、特に見た目に影響を及ぼし、多くの患者様が悩まれています。
そこで、当院では「マイクロスコープ」と「Er:YAGレーザー」という最新の技術を用いて、安全かつ効果的なメラニン色素除去治療を行っています。
・メラニン色素沈着とは?
メラニン色素沈着は、メラノサイトと呼ばれる細胞がメラニン色素を過剰に生成することによって起こります。
この現象は、遺伝的要因や紫外線、喫煙などの生活習慣に影響を受けることが多いです。
メラニンは通常、肌などの色素成分ですが、歯肉にも沈着することがあり、特に上顎の前歯部分に多く見られます。
そのため、笑顔の際に歯肉の色がコンプレックスでうまく笑えないなどといった気になるポイントであり、多くの患者様が除去を希望される部位です。
・マイクロスコープを使った精密治療
マイクロスコープ(歯科用顕微鏡)は、治療をより精密かつ繊細に行うために使用し、最大約21倍まで拡大し非常に細かい細部まで鮮明に観察できるため、治療の正確性が格段に向上します。
特にメラニン色素の沈着した歯肉は、微細な部分に色素が入り込んでいることがあるため、マイクロスコープを用いることで、色素沈着部位を詳細に確認しながら的確に選択的に除去することが可能になります。
そのことによって取り残しや必要以上に組織にダメージを与える事を防止することが可能になります。
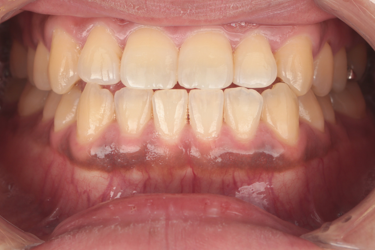
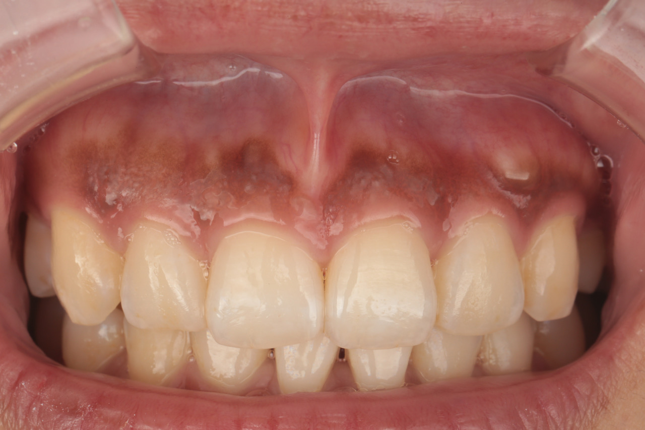
【症例写真】
Before
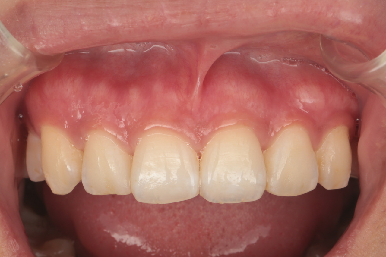
After(術後7〜10日後)
・Er:YAGレーザーによるメラニン色素除去
Er:YAGレーザーは、歯科治療において広く使用されているレーザーの一つで、組織に優しい波長を持っています。
このレーザーは水に吸収されやすく、特に歯肉のような軟組織に対して効果的です。
メラニン色素除去においては、Er:YAGレーザーを使用することで、薬品を使用したり、歯肉を大きく削ったりする従来の方法よりも術後の痛みが少なく、出血を最小限に抑えることができます。
さらに、レーザー治療は治癒も早く、術後のダウンタイムもほとんどありません。
【症例写真】
Before
After(術後7〜10日後)
・マイクロスコープとEr:YAGレーザーを組み合わせた治療のメリット
当院では、マイクロスコープとEr:YAGレーザーを組み合わせた治療を行うことで、以下のようなメリットがあります。
1. 精密で効果的な治療マイクロスコープにより、細部まで確認しながら治療を進めるため、メラニン色素の除去が正確かつ効果的に行われます。
2. 痛みの軽減:レーザーを使用することで痛みを最小限に抑えることができるため、治療に対する不安が少ないです。
3. 短い治療時間:メラニン除去の治療は1回で済み、縫合もないため患者様にとって負担の少ない治療が可能です。(片顎の治療時間は約30〜45分です)
4. 術後の回復が早い:レーザーによる治療は、治癒が早く、術後のダウンタイムもほとんどありません。
忙しい患者様でも、日常生活にすぐに戻ることができます。
メラニン色素除去の施術の流れ
1. カウンセリング:まずは患者様のお悩みやご希望を詳しくお聞きし、最適な治療計画を立てます。
2. 麻酔と治療:局所麻酔を施し、痛みを抑えた状態で治療を行います。マイクロスコープを使用して精密に観察しながら、Er:YAGレーザーでメラニン色素を除去していきます。
3. アフターケア:治療後は、特別なケアはほとんど必要ありません。数日間は歯ブラシや刺激物には注意して頂き、通常1〜2週間できれいに歯肉粘膜は治癒してきます。
まとめ
歯肉のメラニン色素沈着は、美しい笑顔を妨げる一因となりますが、最新の技術を駆使した治療で解消することが可能です。
当院のマイクロスコープとEr:YAGレーザーを用いた治療は、精密かつ安全で、患者様にとっても負担の少ない方法です。
歯肉の黒ずみが気になる方は、ぜひ日暮里の市来歯科医院にご相談ください。
