当院の治療例①について
この度は日暮里の市来歯科医院のホームページ・ブログをご覧頂きありがとうございます。
今回は当院での治療の一例をご紹介させて頂きます。
もちろん患者様に写真の使用許可を頂き、掲載しております。
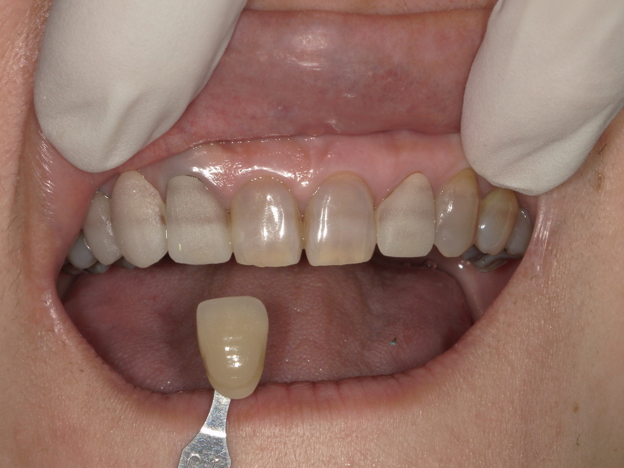
前歯の被せ物をきれいにしたいとのことで来院された患者様(50代・女性)です。
もともと上の左右に硬質レジン前装冠と呼ばれる保険適応で製作された被せ物及びブリッジが装着されておりましたが、周囲歯牙との色調の不一致、被せ物の不適合を認めました。
同時にテトラサイクリン系抗生物質によると考えられる先天性の歯牙の変色が認められました。
(テトラサイクリン系抗生物質を永久歯を作っている幼少期に摂取すると歯の変色が起きる事がありますが、現在では原因と判明しており、そのような処方はされません。)
この様な場合ホワイトニングを行うことで歯牙の変色はなくなる事はないですが、大幅に軽減させることが出来ます。
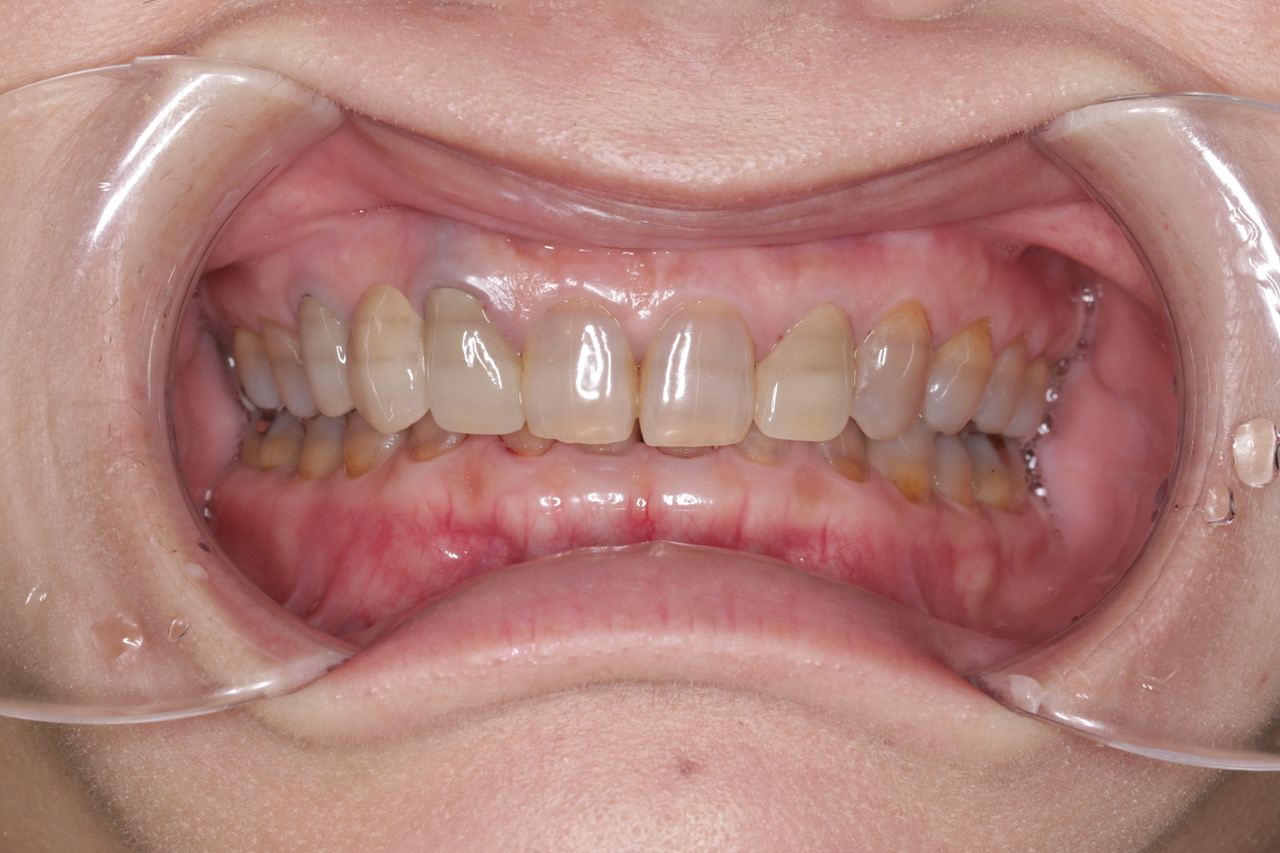
今回の患者様はホワイトニングをご希望されなかったため、周囲の歯に合わせた被せ物をジルコニアをベースとして審美性の高い陶材を表層に用いる2層構造のセラミックを当院で製作することとなりました。
<施術前>
<試適時>
<施術後>
歯牙に個性があり何度か試適を行い、ブラッシュアップをした上で、患者様に満足して頂ける被せ物を装着することが出来ました。
当院では院内に歯科技工士が常駐しており、実際に患者様とお会いすることによって皆様にあった被せ物を提供することができます。
また、このような場合には全て仮歯を作成し、形態や咬み合わせを調整し、問題無い事を確認した上で製作しております。
被せ物をやり直したい、歯をきれいにしたいとお考えの際には、荒川区、日暮里の市来歯科医院までご相談ください。
当院のホワイトニングについてはこちら
