当院の治療例(ホワイトニング併用のセラミックの被せ物)について
この度は日暮里の市来歯科医院のホームページ・ブログをご覧頂きありがとうございます。
今回も当院での治療の一例をご紹介させて頂きます。
もちろん患者様に写真の使用許可を頂き、掲載しております。
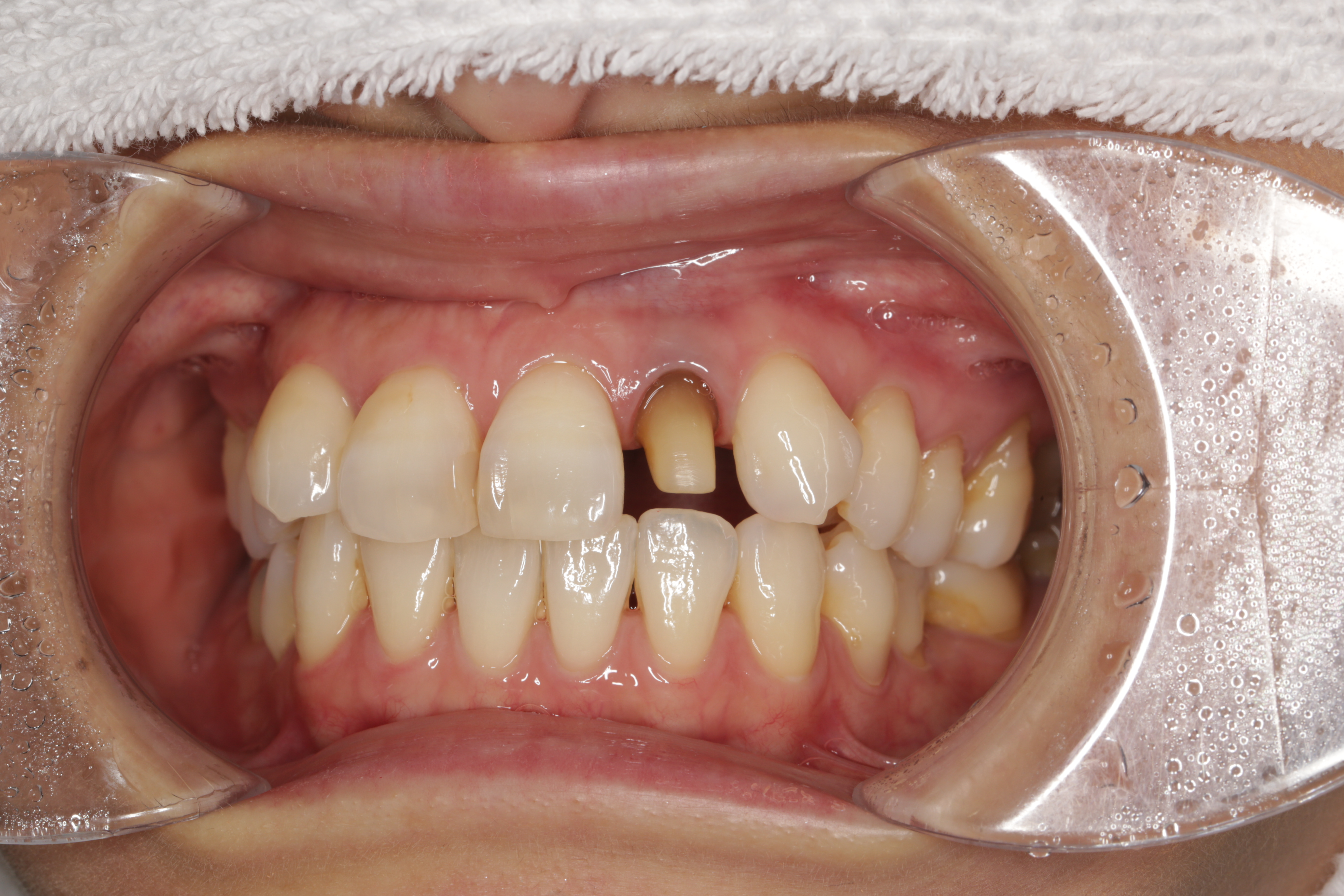
この患者様は30代の女性で上の前歯の歯の色が気になるとのことで来院されました。
上顎左側側切歯(向かって右側の前から2本目の歯)は以前に歯の内部の神経を取る処置がされており、そのために変色を起こしてしまっていました。
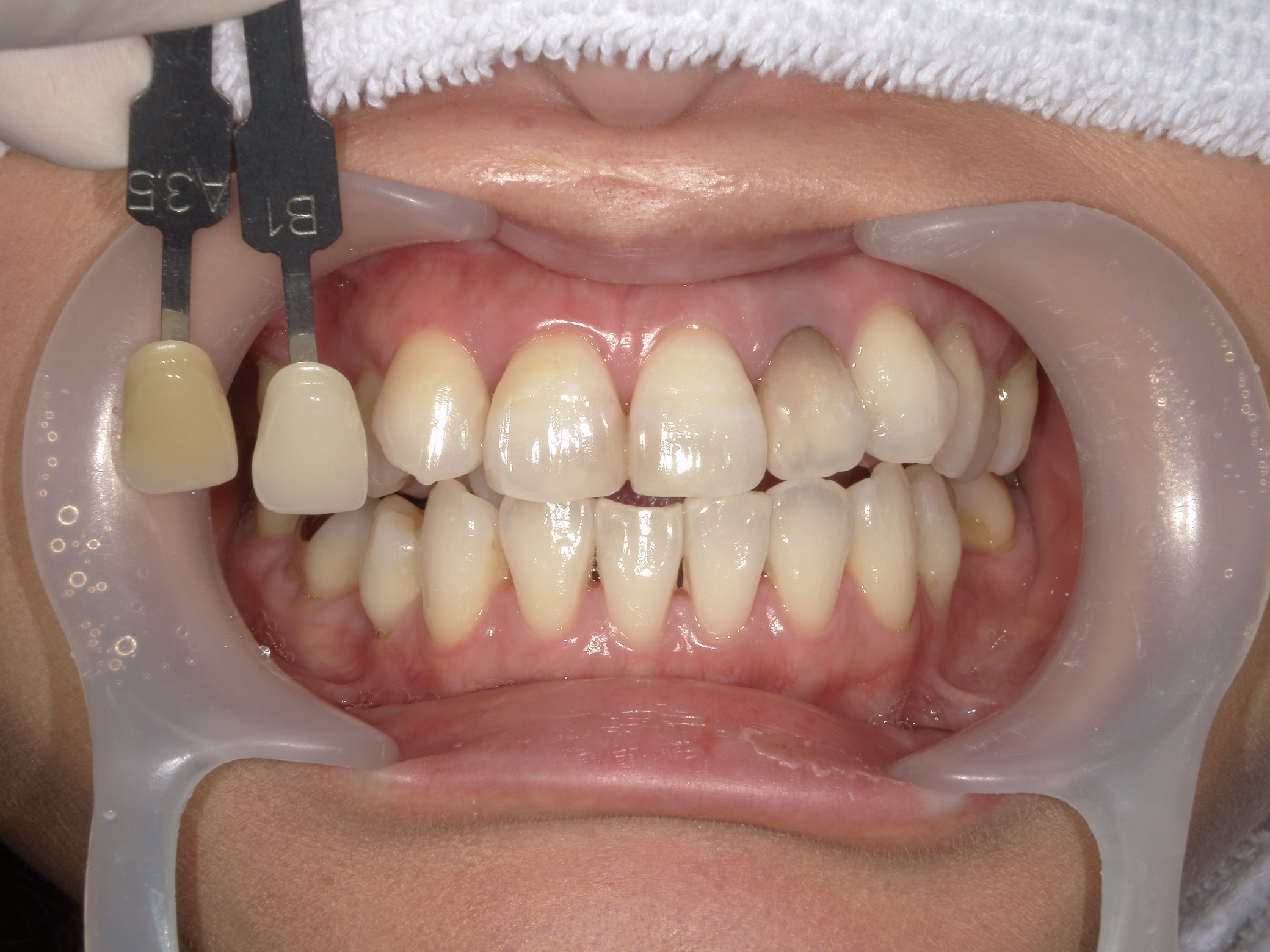
全体的に歯の色も気になるとのことで、まずは全体的にホワイトニングを施行致しました。
当院で行うホワイトニングはクリニックで行うオフィスホワイトニングと、ご自宅で行うホームホワイトニングを並行して行うことにより、約4〜6週間でしっかりと効果を出しております。
この患者様はA3.5→B1まで歯牙の色味が変化しました。
(数字が小さい方が白く、日本人の平均はA2〜A3程です。)
その後治療対象歯を削り仮歯を装着しました。
この仮歯の状態で約1ヶ月間経過観察を行います。
この間に歯の色味が落ち着くのを待ちながら、仮歯の形で修正点があれば修正を行います。
その後、歯科技工士と患者様と相談をしながら最終的に製作するセラミックの色を調整し装着しております。
ホワイトニングを行った直後は歯の色味がより白く変化する可能性があるために、当院ではホワイトニングを行った患者様のセラミック治療は1ヶ月以上は経過観察を行ってから行っております。
実際の写真を掲載致しますので、ぜひ参考にしてみて下さい。
初診時(ホワイトニング前)
ホワイトニング後
歯を削った後
最終的なセラミックの装着後
荒川区・日暮里でセラミックの被せ物の治療をお考えの際には是非市来歯科医院までご相談下さい。
当院のセラミック治療についてはこちら
